Gesundheit und Erfolg − Ästhetik und Funktion
Kinder und Jugendliche
Eine kieferorthopädische Therapie beginnt in der Regel während der Zeit des Zahnwechsels im Seitenzahnbereich, das heißt zwischen dem 9. und 12. Lebensjahr, bei Mädchen früher als bei Jungen. In dieser Phase können Wachstumskorrekturen am besten vorgenommen werden. Wir beraten Sie ausführlich zu allen Behandlungsmöglichkeiten. Die Wahl der jeweiligen Methode richtet sich dann nach Ihren Wünschen und Bedürfnissen.
Diagnose
Strahlungsarmes modernstes, digitales Röntgen
Obwohl unsere Röntgentechnik mittlerweile so ausgereift ist, dass die Strahlendosis einer Aufnahme weniger als ein Fünftel der Strahlendosis während eines Transatlantikfluges ausmacht, verringern wir die Gesamtexposition indem wir so wenig Aufnahmen wie möglich anordnen, natürlich stets unter Ausblendung besonders strahlungsempfindlicher Gewebe
Geometrische Wachstumsanalyse der Seitröntgenaufnahme
Mit Hilfe der sog. Fernröntgenanalyse lässt sich nicht nur der Aufbau des Gesichtsschädels, sondern durch Überlagerungen mit älteren Aufnahmen auch das individuelle Wachstumsmuster erkennen. Dies ist von unschätzbarem Wert für die Steuerung des Wachstums während der Behandlung.
Diagnostisches Set-Up zur Behandlungsnavigation
Hier wird die Korrektur der Fehlstellung am Modell simuliert, um dadurch eine exaktere Behandlungsplanung unter Einhaltung der biologischen Grenzen zu ermöglichen. Die erforderlichen Zahnspangen für die einzelnen Therapieschritte können genauestens geplant und so die Therapie zeitsparender und schonender gestaltet werden.
Funktionsdiagnostik der Kiefergelenke und der Kaumuskulatur
Bei dieser Untersuchung wird die regelrechte Funktion und Belastbarkeit der Kiefergelenke überprüft. Nur dadurch ist es möglich, bereits vorhandene, aber klinisch noch symptomlose Funktionsstörungen herauszufiltern und die Kiefergelenke in die Behandlungsplanung einzubeziehen. Die individuelle Vermessung des Kopfes und der Position der Kiefergelenke im Schädel sind Maßnahmen der instrumentellen Funktionsanalyse. Mit Hilfe der ermittelten Position werden die Kiefermodelle (Abformungen der Kiefer) auf einen Artikulator (künstliches Kiefergelenk) übertragen. Durch diese Funktionsdiagnostik kann man die Kaubewegung am Modell exakt analysieren. Fehlbelastungen der Zähne und der Kiefergelenke können so rechtzeitig erkannt und bei der Behandlung vermieden werden.
Überprüfung der Sprache und der Schluckfunktion
Da eine korrekte Zungenlage Voraussetzung für eine normale Gebissentwicklung ist, ist es unerlässlich, diese im Rahmen der Erstuntersuchung zu überprüfen. Bei einem fehlerhaften Schluckmuster empfehlen wir die Durchführung entsprechender Schluckübungen (Myofunktionelle Therapie) bei einer speziell fortgebildeten Logopädin.
Bei erfolgreicher Durchführung einer solchen Therapie wird sich die Fehlstellung des Gebisses als Folge einer Veränderung der intraoralen Kraftverhältnisse in den meisten Fällen weitgehend spontan bessern, so dass im günstigsten Fall eine kieferorthopädische Behandlung ganz entfallen kann.
Auch wenn dies nur zum Teil der Fall sein sollte, verbessert eine korrekte Zungenfunktion ganz erheblich die Stabilität eines guten kieferorthopädischen Behandlungsergebnisses und hilft insofern ein Wiederkehren der Fehlentwicklung der Kiefer und ggf. eine Zweitbehandlung zu verhindern.
Fotografische Analyse des Gesichtsprofils und des Lachlinien-Verlaufes
Kinnprofil, Lippenprofilverlauf und -volumen, ja sogar der Verlauf und die Tiefe perioraler Falten hängen stark von der genauen Stellung der Kiefer und der Zähne ab. Bevor wir Zahn- und Kieferpositionen durch orthopädische Behandlung verändern, ist es für uns unabdingbar, eine sorgfältige Profilanalyse vorzunehmen und die Ergebnisse bei der Planung der Behandlung maßgeblich zu berücksichtigen.
Frühbehandlung
Einige Fehlentwicklungen des Gebisses sollten durch frühes Eingreifen im Milchgebiss unterbrochen werden. Diese frühe Weichenstellung kann später viel kompliziertere Behandlungen überflüssig machen. Das gilt vor allem für Kreuzbisse und große Abweichungen zwischen Ober- und Unterkieferlänge. Frühbehandlung heißt aber auch Einfluss auf ungünstige Angewohnheiten wie Daumenlutschen, Wangenbeißen, falsches Schlucken, eine falsche Zungenruhelage etc. zu nehmen. Solche Gewohnheiten können sonst zu Deformationen der Kiefer führen, die sich mit dem Durchbruch der neuen Zähne auch auf das bleibende Gebiss und dessen gesamte Funktion übertragen.
Herausnehmbare Geräte
Wir bieten das volle Spektrum herausnehmbarer Behandlungsgeräte für die unterschiedlichsten Anforderungen, von der herkömmlichen Dehnplatte über Wachstumssteuerung mittels Bionatoren bis zur fast unsichtbaren Invisalign-Schiene. Alle diese Geräte werden stets für den Patienten maßgeschneidert angepasst.
Festsitzende Apparaturen
Bei bestimmten Zahnfehlstellungen sind nur mit festsitzenden Apparaturen optimale Ergebnisse möglich.
Mini-Brackets
Die im Vergleich zu Standardbrackets geringere Größe der Minibrackets sieht im Mund nicht nur besser aus, sondern erhöht auch den Tragekomfort der festen Spange, Irritationen der Schleimhäute durch Ecken und Kanten sind seltener.
Reibungsarme SL-Brackets
Dies sind Brackets, bei denen auf Grund ihrer besonderen Konstruktion die Behandlungsbögen nicht mittels Ligaturen befestigt werden müssen. Wegen der dadurch erheblich verringerten Reibungskräfte bewegen sich die Zähne schneller und mit geringeren Kräften. Die Zahnbewegungen sind somit auch weniger schmerzhaft.
Transparente Brackets
Transparente Brackets sind ästhetisch sehr vorteilhaft und lassen die feste Zahnspange im Vergleich zu herkömmlichen Metallbrackets wesentlich unauffälliger erscheinen. Die in unserer Praxis verwendeten Brackets sind von hoher, farbbeständiger Qualität und verfärben sich nicht während der Behandlung.
Lingualtechnik (inkognito – ist nicht in allen Fällen möglich!)
Wenn eine festsitzende Apparatur nötig ist und niemand etwas davon bemerken soll, ist Lingualtechnik die einzige Lösung! Hier wird die Apparatur auf der Innenseite der Zähne angebracht, sodass man von außen nur die Verbesserung der Zahnstellung, nicht aber die Zahnspange sieht. Allerdings ist dies auch die aufwändigste und damit teuerste Lösung, deren Kosten bislang von keiner Versicherung vollständig übernommen werden. Lingualtechnik ist auch nicht in allen Fällen sinnvoll bzw. möglich, lassen Sie sich dazu von uns beraten.
Weitere Informationen unter:
Indirekte Klebetechnik
Das indirekte Klebeverfahren wurde zur Verbesserung der Positionierungsgenauigkeit der Brackets und zur Verringerung der Unannehmlichkeiten für den Patienten eingeführt. Hierbei werden die Brackets reversibel auf die Situationsmodelle geklebt und in einem aufwändigen Verfahren individuelle Übertragungsschienen angefertigt. Dadurch erfolgt der Einbau der „festen Spange“ nicht nur mit maximaler Genauigkeit, sondern auch komfortabler und in wesentlich kürzerer Zeit für die Patienten.
Der wesentliche Vorteil dieser Methode liegt jedoch in einer deutlich kürzeren Behandlungszeit für die Patienten, da die festsitzende Spange auf Grund der höheren Genauigkeit der Bracketpositionen wesentlich früher wieder abgenommen werden kann.
Bioaktive superelastische Bögen
Neue High-Tech-Drahtbögen aus Titanium-Legierungen übertragen über einen langen Zeitraum gleichmäßige Kräfte auf die Zähne. Gegenüber der Behandlung mit herkömmlichen Stahlbögen, bei denen die Kraftabgabe zu Anfang sehr hoch ist und dann rasch abfällt, kann mit den neuen Drahtmaterialien das Behandlungsziel deutlich schneller erreicht werden. Außerdem ist die Korrektur dadurch die schonende Bewegung der Zahnwurzeln wesentlich weniger schmerzhaft.
Verschiedene Techniken...
zur Vermeidung von Zahnentfernungen und Operationen, z.B. Mini-Implantate, Forsus-Federn etc.
Kombinierte kieferchirurgisch-kieferorthopädische Behandlung
Die Abweichungen zwischen der Entwicklung von Ober- und Unterkiefer sind manchmal so stark ausgeprägt, dass nur in Zusammenarbeit mit einem Kieferchirurgen ein stabiles Ergebnis und ästhetisch befriedigendes Profil erreicht werden kann. Im Erwachsenenalter ist dies öfter der Fall als bei Jugendlichen oder jungen Erwachsenen.
Bei einer Kombinationsbehandlung formt der Kieferorthopäde die Zahnbögen in allen drei Raumebenen so aus, dass der Kieferchirurg die Kiefer operativ in die korrekten Positionen bringen kann. Dies erfordert ein sehr hohes Maß an Erfahrung und guter Kommunikation. Wir arbeiten seit Jahren erfolgreich mit bewährten Mund-, Kiefer- und Gesichtschirurgen zusammen und können Sie somit auch in diesen besonderen Fällen kompetent betreuen.
Prophylaxe
Zahnputz-Unterricht/Anleitung
Da wir unsere Patienten währen der kieferorthopädischen Behandlung sehr viel öfter sehen als der behandelnde Zahnarzt, nutzen wir die Chance und geben bei jeder Spangenkontrolle auch Tipps zur Zahnpflege.
Speicheldiagnostik
Hierbei wird das individuelle Kariesrisiko durch Bestimmung der Speichelpufferkapazität und der kariogenen Mikroorganismen in der Mundflora erfasst. Anhand der Ergebnisse kann ein effektives Anti-Karies-Konzept (ausgewogene Ernährung, optimale Mundhygiene, Arzneimittel-Gabe, Recall-Intervall) erstellt werden.
Ernährungsberatung
Nicht nur Süßes kann den Zähnen schaden! Unsere speziell ausgebildeten Prophylaxe-Assistentinnen klären über die Zusammenhänge zwischen Ernährung und Zahngesundheit auf.
Professionelle Zahnreinigung
Bei jeder kieferorthopädischen Behandlung, insbesondere beim Arbeiten mit einer festsitzenden Apparatur, zeigt sich ein erhöhtes Kariesrisiko, da sowohl die Mundhygiene als auch die Selbstreinigung der Zähne stark erschwert werden. Weißliche Kariesmarken, beispielsweise um die Bänder und Brackets herum, können die Folge sein.
Eine perfekte Reinigung durch den Patienten selbst ist aber stets aufwendig und nur mit großem Fleiß zu erreichen. Häufig verbleiben noch Plaque- und Speisereste auf den Kau- und Glattflächen der Zähne sowie vor allem in den Zahnzwischenräumen. Wie wissenschaftliche Untersuchungen zeigen, lassen sich durch eine regelmäßige "Professionelle Zahnreinigung", zusätzlich zu einer guten häuslichen Zahnpflege, Karies und auch Zahnfleischerkrankungen dauerhaft verhindern, da die absolute Reduktion der karieserzeugenden Keime eine etwa 6 Wochen anhaltende Wirkung hat. Bei der "Professionellen Zahnreinigung" werden von einer speziell für diese Aufgabe ausgebildeten Zahnmedizinischen Prophylaxe-Assistentin alle Zähne des gesamten Gebisses und ggf. die festsitzenden Apparaturen von sämtlichen karies- und Parodontitis-erzeugenden Zahnbelägen befreit. Die Abstände dieser Prophylaxe-Sitzungen hängen vom individuellen Kariesrisiko, der häuslichen Mundhygiene ab und sollten in einem Zeitraum von 2-3 Monaten erfolgen. Die Dauer der einzelnen Sitzungen richtet sich nach der Mundhygiene und ist abhängig von der Komplexität der festsitzenden Apparatur. In der Regel dauert eine Sitzung ca. 30 – 45 Minuten.
Versiegelung der Glattflächen vor festsitzender Therapie
Das unmittelbare Umfeld von Brackets ist anfälliger für Karies, weil diese Teile der Zahnoberfläche mit der Bürste besonders schwer zugänglich sind und über längere Zeit bestehende Zahnbeläge den Schmelz entmineralisieren können. Ein speziell für diesen Zweck entwickelter Schutzlack schützt die Zahnoberfläche zusätzlich zur täglichen häuslichen Mundhygiene vor unschönen weißen Flecken auf den Zähnen.
Cervitek – Bracketumfeld-Versiegelung bei festsitzender Therapie
Der chlorhexidinhaltige Schutzlack Cervitec® reduziert u. a. die Mutans Streptokokken im Mund und bekämpft damit einen der Hauptakteure bei der Kariesentstehung. Durch die Reduktion der Zahnbelagsbildung wird auch gleichzeitig die karieshemmende Fluorid-Wirkung unterstützt und Zahnfleischentzündungen vorgebeugt.
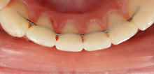
Stabilisierung
Leider neigen die Frontzähne auch nach erfolgreicher kieferorthopädischer Behandlung bei vielen Patienten (multifaktoriell bedingt) erneut zu Verschiebungen. Dies sollte unbedingt verhindert werden. Alternativ zum nächtlichen Tragen einer von der Krankenkasse übernommenen, herausnehmbaren Langzeit-Retentionsschiene, kann die Frontzahnstellung durch das Befestigen eines flexiblen Drahtes auf der Zahninnenseite langfristig zuverlässig und sehr bequem gesichert werden. Diese Stabilisierungsmaßnahme kommt auch für Patienten in Betracht, die nie eine kieferorthopädische Behandlung hatten, jedoch zunehmende Veränderungen an ihren Schneidezähnen beobachten (oft verursacht durch den Druck der Weisheitszähne).
Sport-Mundschutz
Ein individuell angefertigter Mundschutz verringert nachweislich erheblich das Risiko von Zahnverletzungen beim Sport.


Hier erhalten Sie erste Tipps zur Selbsthilfe im Notfall.
Hier finden Sie die Kontaktadresse zum Kieferorthopädischen Notdienst.